1. 医療関係者向けサイト : epicus CLUB
  2. 導入事例
  3. CT
  4. カレス記念病院様

0.275秒回転とCLEAR Motionによる再構成で高精度の冠動脈CTを提供

2病院を統合して地域の医療ニーズに対応する新病院で
自動化技術を駆使した効率的な循環器診療を展開

カレス記念病院集合写真

カレス記念病院

カレス記念病院は、札幌市に本部を置く社会医療法人社団カレスサッポロの新病院として2025年4月に開院した。高度医療や救急・災害医療、感染症対策など地域の医療のニーズと課題に応える最新の設備を整えた。同院では、キヤノンメディカルシステムズの320列CT「Aquilion ONE / PRISM N-UX Edition」が稼働、上位機種で培われた画像再構成技術やオートメーション技術によって、さらなる高画質化と効率的な検査ワークフローを実現している。新病院の概要と循環器疾患におけるCTの活用を中心に、浅香正博院長と循環器内科の野崎洋一医師、放射線科の岡 尚求主任、中村仁志技師に取材した。

浅香正博 院長様の写真
浅香正博 院長
野崎洋一 医師様の写真
野崎洋一 医師
岡 尚求 主任様の写真
岡 尚求 主任
中村仁志 技師様の写真
中村仁志 技師

救急や災害、感染症対策など地域のニーズに対応

同院は、社会医療法人社団カレスサッポロの北光記念病院、時計台記念病院を統合して、JR札幌駅から徒歩10分の場所に開院した。320床の病床はすべて個室で、トイレ、シャワーを備えるなど患者のプライバシーと快適性を追求すると同時に、個室の差額ベッド代は設定せず利用者の経済的な負担軽減を図っている。画像診断機器のほか、血管内治療と外科手術に対応するハイブリッドオペ室や手術支援ロボット「ダビンチXi」など高度医療に対応する設備も整えた。また、JR札幌駅直近という立地は、利便性だけでなく災害時の対応にも生かされている。隣接する北海道ガスの発電施設からの電気・ガスの供給が確保されているほか、水道水に加えて井戸水も利用が可能で災害時のライフラインを確保する。それに加えて、病院に隣接する「ダ・ヴィンチモール」は、ドラッグストアなどを展開するツルハホールディングスが運営し、クリニックや薬局、介護サービス施設などが入るが、浅香院長は、「モール内の薬局(ツルハドラッグ)は、災害時に店舗の商品を備蓄として利用できる契約になっており、札幌市の中心に位置する医療機関として持続的な診療が提供できる体制を整えています」と説明する。また、ダ・ヴィンチモールには、乳腺、消化器内科、循環器内科など複数のクリニックが入居し、病院の高度医療機器の共同利用を含めて密接な連携を図っている。浅香院長は同院の診療について、「超高齢化などに伴い医療のあり方が多様化し、病院を取り巻く環境は大きく変化していますが、地域の医療ニーズや期待に柔軟に応えられる万全の体制を整えることができました」と語る。

AIによる再構成や自動化技術を搭載した320列CTを導入

循環器内科の医師は16名。統合前の北光記念病院は循環器専門病院として開設された経緯があり、時計台記念病院も下肢などの血管系を含む循環器診療に力を入れていたことから、同院でも循環器内科が大きなウエイトを占めている。野崎医師は、「2つの施設の統合で、虚血性心疾患、不整脈、動脈硬化など心臓と血管に対する総合的な診療を提供できる体制となっています」と説明する。同院には、ハイブリッドオペ室のほか血管撮影装置3室があり、救急対応を含めて高度で専門的な循環器診療を提供できる。また、放射線科の診療放射線技師は18名で、画像診断機器はCT、血管撮影装置のほかにMRI、PET-CT、SPECTなどが稼働する。岡主任は、「24時間365日の救急医療体制のため、診療放射線技師も当直があり、全員がCT、MRI、血管撮影装置を扱える体制を目標としています」と説明する。
同院に導入されたAquilion ONE / PRISM N-UX Edition(以下、PRISM N-UX Edition)は、Area Detector CT(以下、ADCT)のフラッグシップ「Aquilion ONE / INSIGHT Edition」で培われた画像再構成技術やオートメーション技術などを搭載し、新しいユーザーエクスペリエンス(New UX)を提供するADCTである。上位機種と同じX線光学系技術であるPUREViSION Opticsを搭載し、SilverBeam Filterによる被ばく線量の低減、「Advanced intelligent Clear-IQ Engine(AiCE)」や「Precise IQ Engine (PIQE)」、モーションアーチファクト低減技術「CLEAR Motion」といったDeep Learningを活用した画像再構成技術、「Automatic Scan Planning」などのAIを活用した自動化技術で、高画質化と検査ワークフローの効率化を図っている。
統合前には「Aquilion64」(時計台)と「Aquilion PRIME」(北光)がそれぞれ稼働していたが、PRISM N-UX Editionの使い勝手について中村技師は、「PRISM N-UX Editionではユーザーインターフェイス(UI)が一新されましたが、検査のワークフローに沿った表示によって戸惑うことなく操作ができています」と述べる。当直対応のためスタッフはさまざまなモダリティを操作する必要があるが、「PRISM N-UX Editionは直感的なUIで不慣れなスタッフでもすぐに扱うことができて助かっています」(中村技師)と評価する。

Aquilion ONE / PRISM N-UX Editionによる臨床画像
a:Aquilion ONE / PRISM N-UX Edition
同一患者の冠動脈CT a SD:16.7 同一患者の冠動脈CT a DLP:228.5mGy・cm
b:Aquilion PRIME
同一患者の冠動脈CT b SD:25.3 同一患者の冠動脈CT b DLP:406.7 mGy・cm
図1 同一患者の冠動脈CT
80列のAquilion PRIME(b)との比較。80列でも高ピッチで被ばく線量は少なめだが、Aquilion ONE / PRISM N-UX Edition(a)では画質を担保しつつ被ばく線量が半分近く低減されている。
a
セグメント再構成
b
1ビートによるハーフ再構成
c
CLEAR Motionを使用
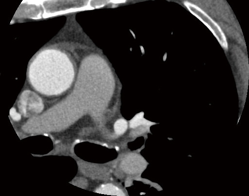
図2 心房細動
アブレーション術前肺静脈造影CT。心拍コントロールせず、複数ビート撮影。セグメント再構成(a)ではモーションアーチファクトが目立つが、1ビートによるハーフ再構成(b)にCLEAR Motionを使用することで、モーションアーチファクトの少ない画像が取得できた(c)。左房の評価目的であったが冠動脈の評価も可能となった。

Deep Learningを活用した再構成技術による冠動脈検査を実施

CTの検査件数は1日約30件で、心臓検査は5〜10件程度となっている。虚血性心疾患を専門とし血管内治療(PCI)を行う野崎医師は、心臓疾患に対するCTの位置づけについて、「冠動脈CTでは、血管内の狭窄度だけでなく、血栓やプラークの性状、血管壁の状態を低侵襲に観察できることがメリットです。また、PCI術前に血管の走行や状態が確認できることで、適切なデバイスやアクセスルートの選択が可能になり、安全で適切な治療につながります」と述べる。その上でPRISM N-UX Editionについて野崎医師は、「CTでは被ばくや造影剤使用の問題がありましたが、ADCTの高速撮影と広範囲のカバレッジによって被ばくや造影剤量を増やすことなく、全身の血管の描出が可能になりました。PRISM N-UX Editionでは、さらに画像再構成技術で高精細な画像が得られています」と述べる。
PRISM N-UX Editionは、ガントリ回転速度は0.275秒であり、Deep Learningを活用した再構成技術によって、ブレのない高精細な冠動脈CT画像の提供が可能になった。野崎医師は、「解像度の高い画像によって、プラークや石灰化の性状がより精度高く把握できるようになりました。カテーテル治療の際には、光干渉断層撮影(OCT)や血管内超音波などで血管内腔や周囲を確認しますが、CTであらかじめ確認できれば治療の有効性の向上やリスクの低減にもつながります」と述べる。さらに、CT画像の精度の向上は、心疾患の精度の高い予後予測も可能になると期待する。野崎医師は、「SCOT-HEARTといった多施設共同研究でも、冠動脈CTの結果を患者さんの診療に参照することで予後が改善したと報告されており、精度の高い冠動脈CT画像は治療方針の決定に貢献することが期待されます」と述べる。

CLEAR Motionで余裕のある冠動脈CT検査を提供

心臓CTの検査時間は10分程度で、βブロッカーの使用については、心拍数によって判断している。現在は、心拍数65〜70bpmでβブロッカーを使用している。中村技師はPRISM N-UX Editionでの心臓検査について、「冠動脈のアーチファクトは、高心拍や息止め不良、体動などいろいろなファクターがありますが、ADCTとCLEAR Motionによって高心拍や不整脈の影響で診断できないケースは格段に減りました。解析についても、以前は静止位相を探すのに時間がかかることがありましたが、PRISM N-UX Editionでは最適な位相を自動抽出するPhase NAVIとCLEAR Motionによって解析業務の負担は大きく軽減しました」と述べる。
被ばく線量については、面検出器による撮影で80列のヘリカル撮影に比べて半分程度になっている。また、造影剤量について中村技師は、「80列CTの時から造影剤を低減したプロトコールを工夫してきましたので大きな変化はありませんが、それでも1〜2割程度は削減できていると思います。高体重で造影剤を増やせない症例などでは低管電圧撮影を行っていますが、AiCEやPIQEの使用により画質を維持したまま造影効果を上げることができています」と述べる。そのほか、肺野の拡大再構成などではPIQE Lungを使用している。

CTなど画像診断を核にさらなる先進医療を提供

心臓CTの今後について野崎医師は、「CTについては、形態情報だけでなく機能情報を活用できることを期待しています。また、薬剤の使用や息止めの必要がなく、さらに被ばくや造影剤を低減した検査が可能になるといいですね」と述べる。
病院のこれからについて浅香院長は、「消化器部門の診療体制を充実させて循環器との2本柱としていきたい」とし、「その中でCTなど高度な画像診断機器は診療を支える上でも重要です」と期待する。札幌市の中心に誕生した高度医療の新たな拠点として、今後の展開から目が離せない。 (2025年10月29日取材)

社会医療法人社団カレスサッポロ
カレス記念病院
北海道札幌市東区北6条東3丁目1-1
TEL 011-777-1011
https://caress-memorial.jp/
カレス記念病院の写真
  • *本記事中のAI技術については設計の段階で用いたものであり、本システムが自己学習することはありません。
  • *記事内容はご経験や知見による、ご本人のご意見や感想が含まれる場合があります。

一般的名称 全身用X線CT診断装置
販売名 CTスキャナ Aquilion ONE TSX-306A
認証番号 301ADBZX00028000
製造販売元 キヤノン株式会社
innnavi net