1. 医療関係者向けサイト : epicus CLUB
  2. 導入事例
  3. CT
  4. 済生会横浜市東部病院様

AIの活用で解析ワークフローを向上する
3Dワークステーションと連携して
検査業務を効率化

ADCTの高速撮影とAI技術による高精細画像で
地域中核病院の救急医療やがん診療を支援

済生会横浜市東部病院集合写真

済生会横浜市東部病院

済生会横浜市東部病院(562床、三角隆彦院長)は、救急医療、がん医療、災害医療などを提供する高度急性期病院として地域の医療を支えている。同院では、2025年5月、キヤノンメディカルシステムズのADCTの新たなフラッグシップ機である「Aquilion ONE / INSIGHT Edition」が稼働した。冠動脈CTや急性期脳梗塞など迅速かつ高精度な画像診断が求められる診療での実績を評価して、「CANON」から「CANON」への更新となった。同時に導入された医用画像解析ワークステーション(WS)の「Abierto Vision」の運用を含めて、放射線診断科の佐藤浩三部長と、放射線部の田中秀和部長、稲垣直之係長に取材した。

佐藤浩三 部長の写真
佐藤浩三 部長
田中秀和 部長の写真
田中秀和 部長
稲垣直之 係長の写真
稲垣直之 係長

横浜市東部の中核病院として
「一歩先の医療」を提供

医用画像解析ワークステーション「Abierto Vision」を導入 医用画像解析ワークステーション
「Abierto Vision」を導入

同院は、2007年の開院以来、横浜市東部地域の中核病院として高度急性期医療を提供してきた。救急医療では、地域有数の救命救急センター(横浜市重症外傷センター)を擁し、年間約8000台の救急車を受け入れている。2017年には、CTの単独運用が可能なIVR-CT(キヤノンメディカルシステムズ)を導入した2ルーム型ハイブリッドERを構築、重症外傷や急性期脳血管疾患などへの迅速な対応が可能な体制を整えている。地域がん診療連携拠点病院としての機能も持ち、年間手術件数は約6700件で、なかでもロボット支援下手術は450件と年々増加している。
放射線診断科には常勤医師6名が在籍し、画像診断管理加算3を取得している。CTは3台で検査件数は年間約3万4000件、MRI3台で年間約1万1000件、そのほか核医学検査やIVRも実施する。放射線部には48名の診療放射線技師が在籍し、画像診断センターのほか、放射線治療センター、RI・IVRセンターを担当する。同院は三次救急を行っているが、技師3名が当直で対応する。田中部長は、「一般撮影からCT、MRI、IVRまで当直者のみで対応します。そのため、すべてのモダリティを扱えるようにしています」と述べる。CTはAquilion ONE / INSIGHT Editionと80列の「Aquilion Prime SP」のほか、ハイブリッドERの「Aquilion PRIME」でも検査を行っており、Aquilion ONE / INSIGHT Editionでは、冠動脈や脳血管、大動脈、下肢動脈などの脈管系検査、悪性腫瘍の術前検査、大腸CTやCTガイド下生検を主に行っている。

高速撮影と画像再構成で
精度の高い画像を提供

Aquilion ONE / INSIGHT Editionは、2014年から稼働していた320列の「Aquilion ONE / ViSION Edition」のリプレイスで導入された。導入について佐藤部長は、「Aquilion ONEの実臨床における有用性と使いやすさは実感してきましたが、導入から10年以上が経過し、地域の中核病院として、最新の技術によってさらに質の高い画像診断の提供を期待しました」と述べる。ADCTからADCTへの更新となった理由を稲垣係長は、「当院では冠動脈CTを月間200件、1日10〜15件行っています。当日の結果報告まで行っており、撮影から解析まで迅速な対応が求められます。それだけに、ADCTのボリュームスキャンによるワンビートの高速撮影や高精細画像の提供が必要とされました」と述べる。

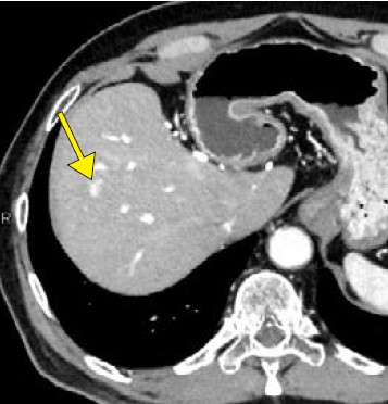
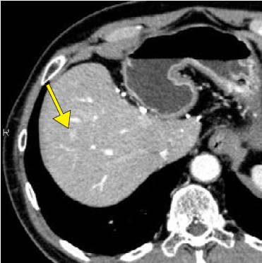
Aquilion ONE / INSIGHT Editionは、ハードウエア系の一新で0.24秒のガントリ回転速度など基本性能を向上させ、AI技術によって開発された超解像画像再構成技術「Precise IQ Engine(PIQE)」、モーションアーチファクト低減技術「CLEAR Motion」などを搭載したフラッグシップCTである。画像の評価を佐藤部長は、「PIQEによる再構成は予想以上にノイズが低減されており、従来と同等の線量でも大きく画質が向上しています。血管系の精度向上はもちろんですが、肝実質や膵実質など実質臓器についてもノイズの低減で読影がしやすくなっています。読影では消化管も見ていますが、解像度の向上とPIQEによってクリアに描出されて、管腔構造の連続性が認識しやすく、壁構造のコントラストが向上して粘膜変化をとらえやすくなっており評価が容易になっていると感じます」と述べる。PIQEは肺野を除く全例で適用されている。肝細胞がんの症例(図1)では、3か月前にIVR-CTの80列で撮影した画像に比べて、ほぼ同条件で撮ったAquilion ONE / INSIGHT Editionの画像では早期濃染を示す小病変がより明瞭に描出されている。また、胃潰瘍の症例では、通常の造影検査で粘膜の欠損や粘膜下の浮腫が明瞭に描出されていた。佐藤部長は、「従来は小さい消化管病変は疑いを指摘するにとどまっていましたが、より確信を持って診断できます」と述べる。

Aquilion ONE / INSIGHT Edition+Abierto Visionによる臨床画像
a
図1 肝細胞がん a
b
図1 肝細胞がん b
図1 肝細胞がん
a:Aquilion PRIME(AIDR 3D
b:Aquilion ONE / INSIGHT Edition(PIQE)

CLEAR Motion(図2)などで
質の高い検査を迅速に提供

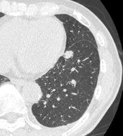
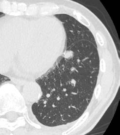
CLEAR Motionについては、CardiacとBodyの両方で使用している。稲垣係長は、「大動脈解離を疑い、従来であれば心電図同期が必要な症例でも、Aquilion ONE / INSIGHT Editionではガントリの回転速度やヘリカルスキャンも高速化していることに加えて、CLEAR Motionをかけることで心拍動によるアーチファクトを抑えて、ブレのない画像が得られます。スループットも向上しており、患者さんにとっても有用な検査が提供できます」と評価する。

Aquilion ONE / INSIGHT Editionでは、AIを用いた自動化技術(INSTINX)によってワークフローの向上が図られている。新しいユーザーインターフェイス(UI)やINSTINXについて稲垣係長は、「これまで3台のCTすべてで同じUIで操作に慣れていたことから、スタッフにも多少不安はありましたが、実際に使うと直感的でわかりやすく、すぐに慣れました。位置決めでは、3D Landmark Scanで取得した3Dデータで撮影範囲を自動で設定するAnatomical Landmark Detectionによって自動化が可能で、検査時間の短縮やスループットの向上が期待できます」と評価する。

Aquilion ONE / INSIGHT Edition+Abierto Visionによる臨床画像
CLEAR Motion OFF + Hybrid-IR CLEAR Motion OFF + Hybrid-IR
CLEAR Motion OFF + DLR CLEAR Motion OFF + DLR
CLEAR Motion ON + PIQE CLEAR Motion ON + PIQE
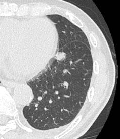
図2 原発性肺がん、肺転移症例で経過観察中
PIQE+ CLEAR Motionの併用で、心拍動に伴うアーチファクトを低減し、
高い時間分解能かつ高精細画像の両立が期待できる。

高い認識精度で3D画像作成を支援する
Abierto Vision(図3)

Aquilion ONE / INSIGHT Edition+Abierto Vision
による臨床画像
図3 大動脈解離 図3 大動脈解離
高速ヘリカルスキャンと
Abierto Visionで全身血管を描出

今回、Aquilion ONE / INSIGHT Editionの導入に合わせてAbierto Visionが稼働した。Abierto Visionは、AI技術によるさまざまな部位のセグメンテーションで高度な画像解析を可能にした医用画像解析WSとして、2024年11月に発売された。Abierto Visionでは、「Auto Extract」によってワンクリックで、頭頸部、体幹部、下肢の骨の分離抽出、脳動静脈の分離抽出を可能にするほか、冠動脈芯線をトラッキングする「Coronary Tracking」など、3D解析のワークフローを簡略化する技術を搭載している。そのほか、同社のWS「Vitrea」に搭載されていたベイズ推定法を用いた「CTボリュームパフュージョン解析(CTP解析)」などのソフトウエアも利用できる。

同院では、従来、急性期脳梗塞症例では、VitreaでCTP解析を、IVRが必要な場合には他社WSでアクセスルート解析のための血管描出を行ってきた。稲垣係長は、「Abierto Visionでは、複数のソフトウエアを同時に動かすことができるので、CTP解析からIVRのプランニングまで1台で対応できます。これらの処理が1つのWSで完結できれば、業務の簡略化やスループットの向上につながる可能性があります」と期待する。

3D画像作成は、Abierto Visionのほか他社製WSも使用して、CTAや整形外科領域などを中心に1日約30件を作成している。3D画像の作成は技師全員が行えるようにしているが、稲垣係長は、「日替わりで担当は決まっていますが、撮影補助なども兼務しながらなので、3D画像作成に専念することができません。それだけに、Abierto Visionで自動抽出の精度が向上し、件数の多い大動脈や下肢、頭部のCTAで血管が精度良く短時間で処理されれば、3D画像処理の時間短縮にもつながるのではと期待しています」と述べる。田中部長はAbierto Visionの導入効果について、「自動化によって3D画像作成の時間が短縮して、働き方改革につながるといいですね」と言う。

精度の高い検査で救急医療など
地域医療に貢献

同院では、重症外傷などの救急患者は治療を優先してハイブリッドERで対応している。稲垣係長は、「初期治療後の全身状態の精査はADCTで撮影を行っていましたが、Aquilion ONE / INSIGHT Editionの高速撮影やPIQE、CLEAR Motionなどによって、全身浮腫や息止め不可といった状態の悪い患者でも診断に寄与する画像が提供できるのではと考えています」と述べる。
ADCT+WSという新たなタッグが、高度急性期医療の提供で地域に貢献する同院の診療をさらにサポートしていく。(2025年8月25日取材)

社会福祉法人恩賜財団済生会支部
神奈川県済生会 横浜市東部病院
神奈川県横浜市鶴見区下末吉3-6-1
TEL 045-576-3000
https://www.tobu.saiseikai.or.jp/
済生会横浜市東部病院の写真
  • *Adaptive Iterative Dose Reduction 3D
  • *本記事中のAI技術については設計の段階で用いたものであり、本システムが自己学習することはありません。
  • *記事内容はご経験や知見による、ご本人のご意見や感想が含まれる場合があります。

一般的名称 全身用X線CT診断装置
販売名 CTスキャナ Aquilion ONE TSX-308A
認証番号 305ACBZX00005000
製造販売元 キヤノン株式会社
一般的名称 汎用画像診断装置ワークステーション用プログラム
販売名 汎用画像診断ワークステーション用プログラム
Abierto Vision AVP-001A
認証番号 22000BZX00379000
製造販売元 キヤノン株式会社