1. 医療関係者向けサイト : epicus CLUB
  2. 導入事例
  3. Ultrasound
  4. 駒沢泌尿器科様

Aplio meのSMIを活用した高精度な前立腺針生検で早期診断・治療につなげる

専門医としての豊富な経験と高精度・コンパクトな超音波診断装置で
高度な医療をアクセス良く提供

駒沢泌尿器科

駒沢大学駅から徒歩2分の場所に位置する駒沢泌尿器科(東京都世田谷区)は、泌尿器科、腎臓内科、皮膚科を標榜するクリニックとして2024年11月に開業した。腎臓・泌尿器科専門医として豊富なキャリアを持つ宮嶋 哲 院長は、近隣の医療機関とも連携して近隣住民や多忙なビジネスパーソンに高度な医療をアクセス良く提供、地域医療に貢献している。また、キヤノンメディカルシステムズ社製の超音波診断装置「Aplio me」などの診断機器や生化学検査装置を活用し、迅速な診断や高精度な前立腺針生検などの日帰り検査・手術などを積極的に行っている。開業に至る経緯や超音波診断装置を用いた診断・治療、めざすクリニック像などについて、宮嶋院長に取材した。

駒沢泌尿器科様の写真

コロナ禍で臨床医としての
セカンドキャリアをめざして開業を決意

宮嶋 哲 院長の写真
宮嶋 哲 院長

宮嶋院長は1990年に慶應義塾大学医学部を卒業後、腎臓・泌尿器科専門医として国内外で経験を積み、2017年に東海大学医学部腎泌尿器科学の主任教授に就任した。その間、母校の慶應義塾大学病院では手術支援ロボットの導入に携わったほか、日本泌尿器科学会、日本腎臓学会などで要職を歴任したが、臨床医としてのセカンドキャリアを志し、2022年7月に開業を決意。約2年の準備期間を経て開業した。
開業までの経緯について、宮嶋院長は次のように語る。

「腹腔鏡手術やロボット支援手術で多くの執刀経験を積んできましたが、教授に就任したことで管理職の比重が大きくなってしまいました。ちょうどコロナ禍にあり、自分の人生を見つめ直した結果、『最後は臨床医として終わりたい』と考えて開業を決意しました。開業に当たっては、専門医としての豊富な経験を基に、高度な医療をアクセス良く患者さんに提供できる場をつくりたいと考えました。現在入居しているビルは新築で立地も良く、入居希望者も多かったのですが、オーナーが泌尿器科を希望していたこともあり入居が決まりました。近隣の目黒区や世田谷区に長年居住していることもあり、慣れ親しんだ地で開業することに縁を感じました」

近隣の医療機関と連携し
迅速な診断や高度な治療を提供

整形外科や耳鼻咽喉科などが入る医療モールビル2階のクリニックには、超音波診断装置や内視鏡のほか、生化学検査装置や腫瘍マーカー測定装置なども備え、前立腺特異抗原(PSA)検査なども約40分で検査結果が得られる。宮嶋院長は、「大学病院などでは、検査結果が判明するまで時間がかかり、その間患者さんは不安なまま待たなければなりません。そのため、スピーディに診断し治療を提供できるような体制を整えました」と話す。また、手術室やリカバリー室を設置し、週に3件、日帰りの前立腺針生検を行っており、これまでに27件施行している(2025年9月時点)。さらに、前立腺肥大症に対する経尿道的前立腺水蒸気治療(WAVE)を週1回、日帰りで行っている。WAVEは、肥大した前立腺に103℃の水蒸気を注入し、組織を退縮させる新たな治療法で、手術時間が約10分と短く出血もほとんどないが、全身麻酔下で行うため東邦大学医療センター大橋病院の麻酔科専門医と看護師4名の体制で術中・術後管理を行っている。

また、循環器疾患や糖尿病などの内科疾患がある患者や泌尿器科でより高度な治療が必要な場合は、近隣の駒沢病院(東京都世田谷区)や国立病院機構東京医療センター(東京都目黒区)に紹介し、ロボット支援下手術が必要な前立腺がん手術は新百合ヶ丘総合病院(神奈川県川崎市)などで宮嶋院長自身が執刀している。
常勤スタッフは宮嶋院長のほか看護師1名で、非常勤で看護師3名、泌尿器科医1名、麻酔科医1名が勤務する。開業当初の来院患者数は1日あたり約10人だったが、現在は1日平均50人が来院しており、 男女問わず頻尿やその原因である前立腺肥大症や過活動膀胱、尿路感染症(膀胱炎、腎盂腎炎)、男性更年期、前立腺がん、血尿の精査など幅広く対応している。宮嶋院長は、「開業前は主な疾患として前立腺疾患を想定していましたが、実際には患者の4割近くが女性で、年代も40~90歳代と幅広く、20歳代の患者さんも来院します。膀胱炎や頻尿、過活動膀胱などが多いですが、次第に男性患者さんも増えてきています」と話す。

泌尿器疾患の鑑別に
超音波診断装置Aplio meを活用

開業後、最も活用しているのが超音波診断装置Aplio meだ。泌尿器科や腎臓内科の診断で超音波検査は重要な位置を占めるが、開業に当たってキヤノンメディカルシステムズのAplio meを選定した理由と経緯について、宮嶋院長は次のように振り返る。
「大学病院では超音波検査を行うことがほとんどなかったため、超音波診断装置に詳しい東海大学の後輩の意見などを参考に、2023年に発売されたばかりのAplio meを検討しました。Aplio meは、高い画質に加え、非造影で微細で低速な血流をとらえるSMI(Superb Micro-vascular Imaging)などのソフトウエアや多彩な撮像モードがあり、さまざまな体格の患者さんの撮影をフォローできることも決め手になりました」

日常の診療では、結石や水腎症の鑑別のほか、尿道炎や性病以外では必ず超音波検査を行っている。宮嶋院長は、「血尿や頻尿、排尿時痛などに膀胱腫瘍が隠れていることが多く、血尿がある場合は、喫煙歴や肉眼的血尿などがない低リスク患者でも超音波検査で膀胱腫瘍が見つかるケースも少なくありません。来院患者の約1/4に当たる10人/日に超音波検査を行っており、これまでに膀胱腫瘍を約10件発見しています。超音波検査は低侵襲でその場で結果がわかるため患者さんの安心が得られ、万一腫瘍が発見された場合は迅速に次の検査や治療方針の検討につなげられます」と超音波検査の重要性を強調する。

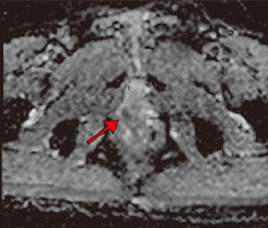
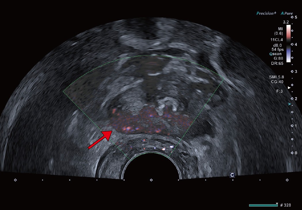
Aplio meによる臨床画像 症例:前立腺がんに対する経直腸エコーによる針生検
a:経直腸超音波画像。前立腺右葉辺縁領域に低エコー領域を認めるが、がんとは断定しづらい。 a:経直腸超音波画像。前立腺右葉辺縁領域に低エコー領域を認めるが、がんとは断定しづらい。
b:前立腺右葉辺縁領域に明らかなSMI陽性像、すなわち微小血管が描出されており、同部位からGS4+4が検出されている。 b:前立腺右葉辺縁領域に明らかなSMI陽性像、すなわち微小血管が描出されており、同部位からGS4+4が検出されている。
c:前立腺右葉辺縁領域にPI-RADS 4の病変を認める。 c:前立腺右葉辺縁領域にPI-RADS 4の病変を認める。
d:cと合致した部位にADCにてPI-RADS 4病変を認める。cの部位とbの画像でSMI陽性の病変は一致している。 d:cと合致した部位にADCにてPI-RADS 4病変を認める。
cの部位とbの画像でSMI陽性の病変は一致している。
abcd図

SMIで高精度な前立腺針生検を実施

クリニックでは、通常の検査のほか前立腺針生検でもSMIを活用している。SMIは、モーションアーチファクトを除去するアルゴリズムを使用し、従来のカラードプラでは描出困難だった微細血管の低流速血流を高感度に描出できる。前立腺針生検は事前にMRI検査を行い、MR画像を参考に会陰部から針を挿入し組織を採取するが、SMIで前立腺がん特有の微細な血流の有無を確認しながら行うため、通常の前立腺針生検より高精度に検査が行える。宮嶋院長は、「MRI所見でPI-RADS(Prostate Imaging Reporting and DataSystem)スコアが4以上であれば、SMIで微小血管血流が検出できる印象です。実際に、SMIによりMRI所見と同様に血流が描出され、腫瘍を検出できた症例もあり、大変有用だと思います」と評価する。

SMI以外では、高分解能ドプラ技術であるADF(Advanced Dynamic Flow)を通常診療で活用している。ADFは、従来のカラードプラより微細な血流が描出可能である。水腎症などの鑑別では、血管と腎盂、尿管の区別が付きにくいケースがあるため、泌尿器科専門医でも必ずADFを使用しており、腎臓腫瘍の血流スクリーニングにも有用だという。

また、Aplio meのもう一つの特長が高い操作性とコンパクトさだ。Aplio meはモニタや操作パネルの高さが230mmの範囲内で調整でき、左右スウィング機構により装置本体が左右に30°ずつ回転可能である。また、コンパクト化したことで、クリニックなどスペースが限られた医療現場でも設置しやすくなっており、筐体のスリム化で検査者の足元に空間が確保でき、検査者にとって使いやすい仕様となっている。宮嶋院長は、「装置がコンパクトな上にモニタが左右に回転することで、ベッドサイドで患者さんにモニタを見せながら説明できるため、説得力があり、患者満足度の向上につながっています。また、女性や小柄な人でもスムーズに移動させられるなど、非常に使い勝手が良い装置だと思います」と述べる。

地域で最も信頼されるクリニックをめざす

11月で開業から1年を迎えるが、宮嶋院長は今後の目標について、「患者さんが増えても診療の質や医療安全を維持しつつ、まずは地域で最も信頼されるクリニックをめざし、次第に範囲を広げていきたいですね。『あのクリニックに行けば絶対に何とかしてくれる』と言われるクリニックにするのが目標です。その一環として、膀胱腫瘍に対する経尿道的腫瘍切除術など治療領域も拡大したいと考えています」と述べる。
同時に、超音波画像技術の進化にも関心を寄せている。
「現在、前立腺がん検査では血清PSA検査で腫瘍マーカーが高値の場合は必ずMRI撮像を行い、超音波検査は補助的な位置づけです。当クリニックにはMRI装置がないため、他施設にMRI撮像を依頼する必要がありますが、超音波画像技術が進化し、経直腸超音波検査のみで腫瘍を検出できるようになれば、患者さんにも大きなメリットになります」と話す。
WAVEのように、前立腺治療の世界を変えるようなイノベーションが生まれることに期待したい。(2025年9月17日取材)

駒沢泌尿器科
東京都世田谷区駒沢1-3-1
駒沢グリーンビル2F
TEL 03-6450-9511
https://www.komazawa-uro.com/
駒沢泌尿器科様の写真
  • *記事内容はご経験や知見による、ご本人のご意見や感想が含まれる場合があります。

一般的名称 汎用超音波画像診断装置
販売名 超音波診断装置 Aplio me CUS-AME00
認証番号 305ADBZX00027000
製造販売元 キヤノン株式会社
innnavi net