1. 医療関係者向けサイト : epicus CLUB
  2. 導入事例
  3. Ultrasound
  4. スクリーニングから精査までRA領域を1台でカバーするAplio meへの期待

RA領域における関節エコーの有用性と技術革新

スクリーニングから精査までRA領域を1台でカバーするAplio meへの期待

成田 明宏 先生 
医療法人 清仁会 北海道内科リウマチ科病院

医療法人 清仁会 北海道内科リウマチ科病院

成田 明宏 先生の写真
医療法人 清仁会 北海道内科リウマチ科病院
検査放射線課 課長
成田 明宏 先生

近年、関節リウマチ(RA)治療は劇的な進歩を遂げ、発症早期より生物学的製剤を開始することで症状の改善のみならず、寛解からドラッグフリーの達成も夢ではない時代を迎えている。このため初期診断、進行度診断、生物学的製剤の効果判定、寛解後のフォローアップなどで些細な病変をも的確に捉えることが重要であり、多くの関節を同時に繰り返し非侵襲的に評価可能な関節エコーの役割が増大している。
そこでRA領域の関節エコーに造詣が深い医療法人清仁会 北海道内科リウマチ科病院 検査放射線課 課長の成田明宏先生にRA領域における関節エコーの有用性および超音波検査装置の技術革新がもたらすインパクトについてうかがった。また先ごろキヤノンメディカルシステムズ社より発売されたハイエンド装置の機能を備えたコンパクト機種として知られるAplio meの使用経験についてお聞かせいただいた。

生物学的製剤の普及で高まる関節エコーの重要性

医療法人 清仁会 北海道内科リウマチ科病院
医療法人 清仁会 北海道内科リウマチ科病院
RA患者数は2609人に上る(2021年度)

2003年、我が国で初めて生物学的製剤が上市されるとRA治療は一変し、寛解やドラッグフリーを目指せるようになった。こうした治療薬の進歩に伴い、生物学的製剤の効果判定に有用な関節エコーの重要性が高まっている。
RAは全身の関節に発症する可能性があり、複数の関節を網羅的に観察する場面も多い。今回は当院における検査の流れを紹介しつつ関節エコーの有用性について概観し、先ごろ発売された同シリーズ最新機種のAplio meについてRA領域におけるパフォーマンス評価を行った結果を紹介したい。

関節エコーのあゆみ

我々がRA診療で関節エコーを開始したのは生物学的製剤が発売される約3年前の2000年。米国リウマチ学会から帰国した医師からの「RAの関節病変はエコーで赤く燃えるように見えるらしいが、我々の病院の装置でも観察できるのか?」という問い合わせが契機となった。当時の超音波技術は現在ほどではないにせよ、滑膜炎は異常な血流シグナルとして明確に検出可能であった。炎症の判別には血流の有無が重要であるため、炎症性の低流速血流検出に最も適したパワードプラを用いた関節エコーも2000年から同時に開始し現在に至っている。
関節エコーの導入以前、RA領域における治療効果の判定は、血液検査によるC反応性蛋白(CRP)値の減少や患者さんの関節の腫脹、および患者さんの主観による痛みの軽減を評価するよりほかなかった。しかし関節エコーによって滑膜炎の有無を明確に捉えられるようになった結果、RA治療薬の効果はより客観的に判定可能となり、たとえ関節の腫れや痛みが消失しCRP値がゼロまで低下しても滑膜炎が存在する潜在性の症例も知られるようになった。こうして関節エコーはRAの診断の補助ツールとしてなくてはならない存在となり、リウマチ性疾患における関節エコーの標準的使用に向けて、既に2011年には「リウマチ診療のための関節エコー撮像法ガイドライン」が、2014年には「リウマチ診療のための関節エコー評価ガイドライン滑膜病変アトラス」が刊行されている。

当院における関節エコーの流れ

関節エコー検査中の風景
関節エコー検査中の風景
リアルタイム入力により結果を即時に医師と共有

当院を訪れるRA患者さんの大半は「痛い、腫れた、もしかしたらリウマチ? 何だろう?」という病名不明の方々である。広い北海道では患者さんが遠方から来られるため、検査のためだけに「また2週間後に来院ください」というわけにはいかない。そこで当院では多くの場合その日その場で関節エコーを行い、速やかに診察に移るという一連の流れが根づいている。
RA疑いの患者さんが来院されると医師より関節エコーの指示が出て、患者さんにはベッドに横たわった状態で速やかに検査が行われる。RA患者さんの大半は手指・手首の関節に障害が生じる。このため検査部位は医師の指示に従い、左右の手指と手首22関節について撮像法ガイドラインで示す観察すべき箇所全てをルーチンで見ている。またこれらに加え、医師の指示で顎関節や股関節なども常時追加で対応している。

検査では、それぞれの関節についてグレード分類と当院オリジナルの血流定量評価を行いながら、その結果をリアルタイムで入力する。数値による血流の定量評価は当院の特徴であり、超音波装置に搭載されているVascularity Index(ROI内部のPower/SMI表示のピクセル数、面積、割合を表示する機能)を用いて全ての関節を評価する。特に両手指のMCP・PIP20関節や手関節については定量合算(%)し、その値をT-Vs(Total Vascularity)として記録している。この結果は一瞬で得られるようシステム化されており、画像を含め速やかに医師の手元画面で表示されるようになっている。こうして当院では関節エコーで関節の状態を総合的かつ客観的に把握した結果を医師と即時に共有できるため、検査に続く医師の診察は、検査結果を参照しながら行われる。
現在RA領域において関節エコーの担い手の多くは医師であるが、医師が診察中に多数の関節を検査しながら定量化していくことは難しい。このため血流の定量評価は残念ながらまだ普及の途上にあるが、関節エコーを技師が行う環境が整ってくれば今後さらに広まっていくものと期待している。当院では関節エコー撮像法の研修を開業当初から1泊2日で行っているが、その参加者も8割は医師であり、続いて臨床検査技師、診療放射線技師、看護師などになる。研修ではガイドラインに掲載されている撮像法のすべてと、炎症のあるRA患者さんにご協力いただき炎症のある関節を一緒に撮像しその評価も行う。現在、受講者は延べ300人以上になっている。

RA診療における
Aplio meのパフォーマンス
―高精細なBモード画像と高感度でアーチファクトが少ないパワードプラ

様々な技術革新の結果、近年、超音波検査装置はBモードで精緻な画像が得られるようになった。逆に言えば、そうでなければ通用しない時代が始まっている。RA領域で関節エコーを始めた20余年前と比べると、近年のBモード画像の画質の進歩は目を見張るほどである。
ここからは当院で行ったキヤノンメディカルシステムズ社製の最新機種、Aplio meのパフォーマンス評価について紹介したい。2023年に発売されたAplio meのBモードにはaBeam Forming技術が搭載され、細かく均一な超音波ビームの送受信により高精細な画像が得られるようになっている。高画質のBモードをベースにパワードプラでは血流シグナルがしっかりとのり、モーションアーチファクトもストレスを感じないほど瞬時に軽減していた。
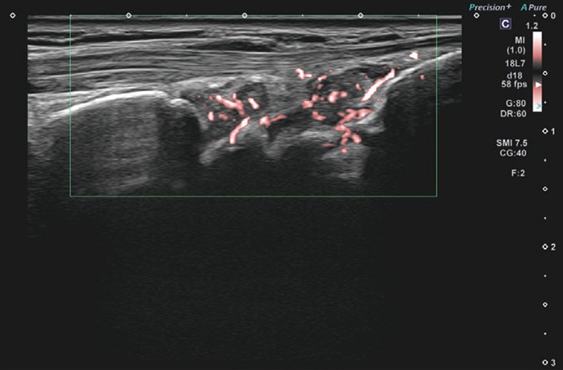
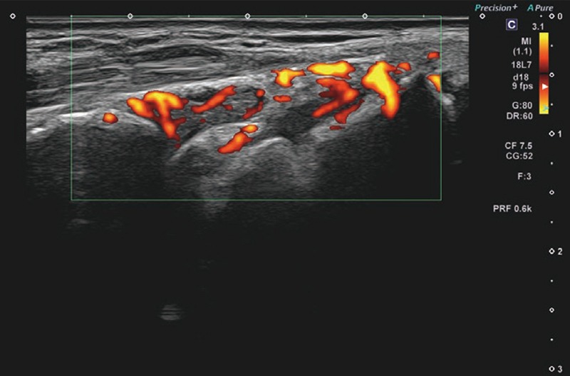
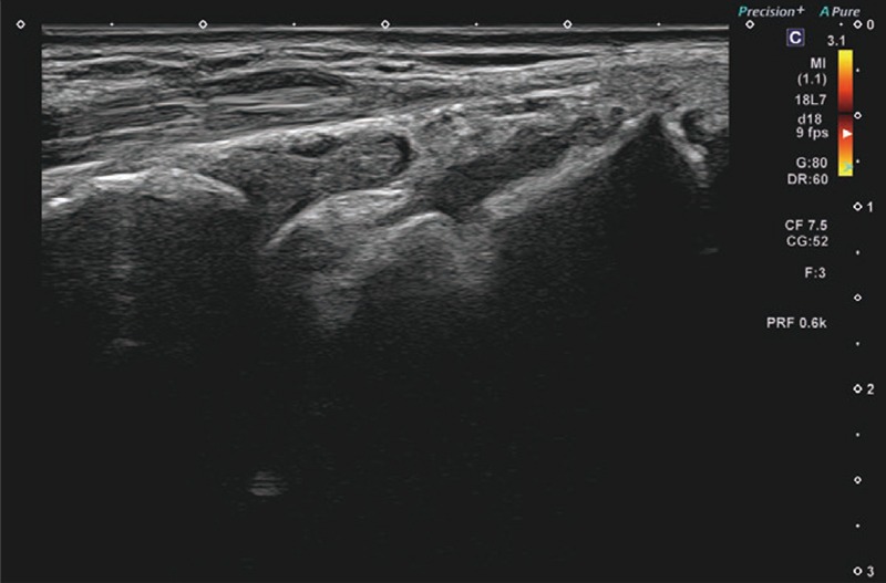
提示した症例画像はAplio meで撮影したRA患者さん手首のBモード画像、SMI画像、パワードプラ画像である。Bモードでは、ご覧の通り滑膜肥厚の低エコー域がクリアに区別できている(画像1)。Superb Micro-vascular Imaging(SMI)の血流は増殖した滑膜の部分に一致しており、血管からのはみ出しもなく血流を正確に検出している(画像2)。パワードプラでは、SMIと比較してブルーミングは存在するものの、モーションアーチファクトがなく、少々あったとしても素早く消失するので、走査時のストレスがなかった(画像3)。もちろんグレード1の血流も正確に検出できる。

RA症例画像
(部位:手首、超音波検査装置:Aplio me)

画像1 Bモード 画像1 Bモード
画像2 SMI 画像2 SMI
画像3 パワードプラ 画像3 パワードプラ

関節エコーにおけるSMIの有用性
―Aplio meにはさらに進化したiSMIが搭載可能

当院ではAplio 300、 Aplio a / Verifiaに搭載されたSMIを以前から使用しているが、Aplio meに搭載可能なiSMIではSMI画像の信頼性がさらに向上していた。パワードプラでは、小さな関節で本当に血流が存在しているかどうかが判然とせず、ノイズかどうか迷う時間が出るのだが、SMIで見れば、そうした血流の存在は一目瞭然である。検査では短時間で多くの関節を見なくてはならず、患者さんは手や腕を伸ばす姿勢を保持するだけでもかなり辛いものであり、検査中は常に「少しでも苦痛を感じる時間を長引かせることは許されない」と感じている。関節のグレード評価はパワードプラが標準とされており、当院でもそれに準じパワードプラで評価しているが、装置の使い方としてはパワードプラで血流がのるかのらないか迷っている時間があればまずSMIで見てしまった方がいいと考える。例えば一つの関節をSMIでさっと見て血流の有無を判別し、あるとなったら即パワードプラに切り替え、拍動で最も大きいところの静止画を出して評価する。パワードプラだけでなくSMIと2つのモードを使用するのはよほどの時間がかかるのではないかと思われるかもしれないが、パワードプラで迷っている時間を考えればまずSMIを使う方が圧倒的に効率的かつ楽である。SMIでグレード評価するのではなく、「まず血流があるか・ないかを見る、さらに血管の走行を見る」、という使い方に慣れてしまい、今ではSMIがないと無理だと感じるまでに至っている。ジレンマとして、SMIで明瞭に出ている血流がパワードプラでは検出されないかあってもほんのわずかである場面では、検出感度の差をわかってはいるがストレスを感じざるを得ないことも多い。しかし我々技師は1つの関節だけ見ているわけではなく全体を見ているので、全体的にこうした傾向が見られる場合には、「SMIではこの程度の関節でこのように見えているけれど、パワードプラではそこまで見えていませんでした」といったようにコメントを入れて医師に報告する場合もある。

RA領域でAplio meに搭載すべきプローブとは

Aplio meの導入を検討する場合、プローブはPLU-1204BTが1本あればRA領域をほぼカバーできる(写真a、b)。しかしAplio meは全身の検査に対応する機能を持っており、股関節や足底腱膜など深層が見たい場合には、血管に使用する、より低い周波数のプローブPLU-805BTが有用である(写真c)。当院では、必要に応じて診察室でも医師が関節エコーを直接施行しながら病状の説明を行っており、有効なエコーガイド下関節穿刺も積極的に行っている。今回使用したAplio meに搭載されるホッケー型リニアプローブ(PLU-2002BT、写真d)は人体接触部が8mm×31mmと小さく、かつ20MHz以上の周波数帯域を持つため、当院でも医師がエコーガイド下関節穿刺を行う際に役立っている。

a 検査室に設置したAplio me。コンパクトで走査しやすい(プローブはPLU-1204BT)
a 検査室に設置したAplio me。コンパクトで走査しやすい(プローブはPLU-1204BT)
b RA領域全般を1本でカバー可能なPLU-1204BT
b RA領域全般を1本でカバー可能なPLU-1204BT
c 近距離分解能と深部感度を両立するPLU-805BT
c 近距離分解能と深部感度を両立するPLU-805BT
d 穿刺の際、幅が小さく刺しやすいPLU-2002BT
d 穿刺の際、幅が小さく刺しやすいPLU-2002BT

総評:RA領域の超音波検査装置としてファーストチョイス

成田技師と検査室の臨床検査技師の皆さま(左から、杉村厚歩技師、大森澄香技師、成田明宏技師(検査放射線課 課長)、邉見美穂子技師(検査放射線課 臨床検査課長補佐))
成田技師と検査室の臨床検査技師の皆さま
(左から、杉村厚歩技師、大森澄香技師、成田明宏技師(検査放射線課 課長)、邉見美穂子技師(検査放射線課 臨床検査課長補佐))

今回、実際にAplio meを検査室に設置し使用したが、コンパクトで検査中動きやすく、軽くて自由度が高いためか非常に使いやすかった。コンパクトな機種ではその分機能が今一つということも往々にしてあるが、前述のようにAplio meでは高品質な画像がストレスなく得られ、1台でRA診療が全てカバー可能であった。またRAの関節エコーはもちろんのこと、腹部や血管、心臓も評価してみたが、この1台だけで十分な機能を有していた。今後、RA領域の診療所や病院の外来、検査室では、価格面も含めファーストチョイスとなる装置の一つであろう。

  • *CUS-AME00と組み合わせたときの代表的な周波数の値です。
  • ●本投稿におけるコメントや数値については、お話を伺った先生のご意見・ご感想が含まれます。

一般的名称 汎用超音波画像診断装置
販売名 超音波診断装置 Aplio me
CUS-AME00
認証番号 305ADBZX00027000
製造販売元 キヤノン株式会社
一般的名称 手持型体外式超音波診断用プローブ
販売名 リニア式電子スキャンプローブ
18L7 PLU-1204BT
認証番号 225ACBZX00047000
製造販売元 キヤノン株式会社
一般的名称 手持型体外式超音波診断用プローブ
販売名 リニア式電子スキャンプローブ
12L4 PLU-805BT
認証番号 305ADBZX00028000
製造販売元 キヤノン株式会社
一般的名称 手持型体外式超音波診断用プローブ
販売名 リニア式電子スキャンプローブ
22LH8 PLU-2002BT
認証番号 305ADBZX00029000
製造販売元 キヤノン株式会社